皆様季節はもう3月になりそろそろ春を迎えますね。
心身ともにリフレッシュしようと考えている方も多いと思います。
おしゃれを楽しみたい方もたくさんいらっしゃるでしょう。服装や髪型を変えて気分転換がお手軽ですね。
実は歯もそうです。
お口の中で調子の悪いところはありませんか?
もしなければお口の中をよく見てください。
気になるところはありませんか?
汚れや着色がついたところはありませんか?
顔の美しさは口元や、歯並び、歯の色に大きな影響を受けます。
口元や歯並びは機能訓練や歯の矯正などあまりお気軽に改善できることではありません。
銀歯や古くなったかぶせ物も不具合でなく見た目のために取り換えるとなったら、手間やお金のことを考えると簡単に手を出しずらいですよね。
では、歯のクリーニングやホワイトニングで歯の輝きのアップはいかがですか?
歯の着色は歯に蓄積していきある期間が経過するとどうしても歯にこびりついていきます。歯石も同様で、定期的なクリーニングが必要です。さらにポリリン酸などを使った歯についた汚れを浮かせて取るホワイトニングで歯の輝きを増すことも有効です。歯科医院以外で行われるホワイトニングはこれです。
しかし、これは汚れをとって本来の歯を見せているだけで、歯の明度や白さを向上させているわけではありません。
本当のホワイトニングは歯の歯質の内部に薬剤が浸透し、内部の着色を分解し歯の明度や白さを向上させる歯の漂白(ブリーチング)のことを言います。
こちらは歯のクリーニングより美容の効果ははるかに大きくなります。
しかし、ホワイトニングを歯科医院で行うとなるとお気軽ではないですか?
薬剤を入れるためのお口にはめるトレーを作ってお家でホワイトニングするホームホワイトニングはお手軽ですが、それだけでは足りません。一番効果的なのは歯科医院で行うオフィスホワイトニングも行うデュアルホワイトニングです。
とても大変かと思われるかもしれませんが、一番は施術時間、中でも薬剤を歯面に塗布して光をあてる時間が一番時間がかかります。使用する薬剤や光照射器によって時間は様々ですが10分照射3回、計30分が標準ではないでしょうか。
これが結構長く、また、歯がしみることがよくあるのも敬遠される理由ですね。
しかし、当院で行っているホワイトニングは5分照射1回または2回と非常に短く、歯がしみる対策も万全に行っています。とても気軽に施術を受けることができます。
これについては後ほど詳しく説明しますね。
それではホワイトニングについて詳しく説明しましょう
歯の変色はどうして起こるの?
どうして歯が黄色くなったり茶色くなったりするのでしょうか。
原因は大きく分けて3つあります。
①表面の汚れが歯を変色させている外因性のもの
②エナメル質、象牙質の変化による内因性の加齢によるもの
③内因性薬剤の変色によるもの
最初の①は歯の表面の着色による変色で、いわゆる茶渋と呼ばれている食品などに含まれている色素が歯の表面に沈着して歯の色が変化することです。タバコを吸われる方はヤニ、お茶、コーヒー、紅茶、ワインなどをよく飲む習慣がある方は茶渋が付きやすいです。
この場合は効果の高い歯磨き粉を使用して時間をかけて丁寧に磨くことである程度取れますが、長く蓄積した着色は歯科医院で専門の機械を使用して歯のクリーニングを定期的に行うと着色は目立ちにくくなります。
次に②内因性の加齢による変色です
実はこのタイプが一番ホワイトニング効果があり白さが期待できるのです。
歯の色(特に日本人などの黄色人種は)一般的に真っ白ではなく黄色味のある色をしています。歯の表面はエナメル質で、その下に象牙質の層があります。その象牙質は黄色味を帯びていて加齢とともに、エナメル質が薄くなり中の象牙質が透けて見えることと長年の歯の表面の着色と、エナメル質にまで浸食している着色で黄ばんだ歯になってきます。

次の③は内因性薬剤などの影響で深部からの変色です
これは歯が形成されるときに重大な病気にかかったり、外傷を受けたり、服用した薬の影響を受けたことによる、歯の形成不全や、歯の内部の変色です。
全体が変色したり、影響を受けた時期に歯が形成された部分が変色して歯に縞模様の変色帯ができてしまっています
有名な薬剤にテトラサイクリンがあります。
このタイプの変色で、中等度以上の重度の変色はホワイトニングの適応外と言われていて、実際になかなか効果が出ないことがありますが、しっかりホワイトニングの効果が出るシステムと薬剤であれば劇的な白さは期待できませんが、多少の効果が期待できる場合がありますので、まずはご相談ください。
ホワイトニングは広く一般的に認知されておりますが、歯の変色の原因は前述の3つの原因に分けられます。
ホワイトニングも厳密には歯の表面の汚れや着色を落とし、磨いてつやを出していくクリーニングと歯の内面に薬剤を浸透させ、色素の分解や光の反射を変える漂白(ブリーチング)に分けられます。
歯科医院を通さないサロンなどでのホワイトニングは前者のクリーニングで、主にポリリン酸を用いて歯の表面の汚れを浮かせてきれいに取り去り、歯の本来の色を出すことを目的にしています。
これに対し歯の内面まで作用する漂白(ブリーチング)は高濃度の薬剤を使用するので歯科医院でしかできません。歯の色を根本的に変えるので、これが本当のホワイトニングになります。
余談ですが、昔、歯にマニキュアのように色素を塗って白くする歯のマニキュアが一時流行りました。でもすぐにマニキュアがはがれてしまいました。
歯のブリーチングは主に高濃度の尿酸などの薬剤を歯面に置き、薬剤を活性化させ、歯に浸透しやすくするために光を照射します。
これが標準的に30分程度、短くて20分くらい当てなければなりません。薬剤の酸でしみることもあります。
照射時間は当てられる光の波長に影響を受けます。
国産の光照射器は最適な波長より少しずれているようです。どうやら特許など使用できない事情があるようです。
当院で使用している照射器は外国製で最適な波長で照射することができ、当院では光照射は5分×1,2回で10分以内の照射時間でかなり短くなっています。
しみることに対する対策もある薬剤を使用して刺激を中和することができます。この薬剤はホームホワイトニングでもお渡しするので安心して使うことができます。
歯科で行うホワイトニングも十分効果を出すためにはオフィスホワイトニングはいち早くホワイトニングの効果は出せますが短時間での浸透ですので、効果は限られております。
家で自分で行うホームホワイトニングは時間をかけて薬剤を歯に浸透させていくのですがこちらはだんだんと薬剤が歯に浸透していき次第に歯が白くなっていきますが、オフィスホワイトニングなしで単独で行うと効果の発現が遅く、効率が悪くなってしまいます。
従って最適なホワイトニングとはオフィスホワイトニングとホームホワイトニングを組合わせた”デュアルホワイトニング”ということになります。
ただしこちらも薬剤の濃度の関係で国産のメーカーの薬剤では効果が薄く、あまり改善しないことが多く、当院では有名なメーカーのホワイトニングシステムを使用していましたが術前術後を比較しても明らかな効果が見られず積極的に進めておりませんでした。
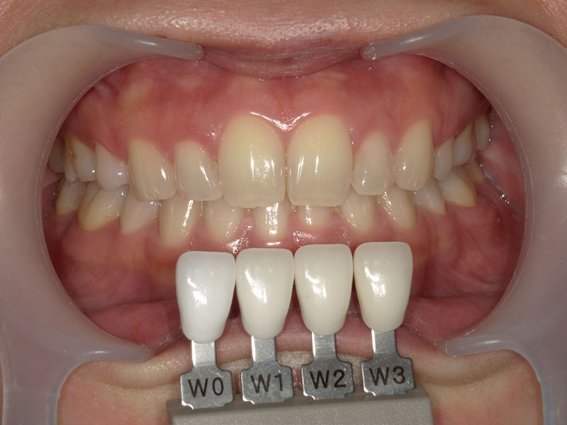
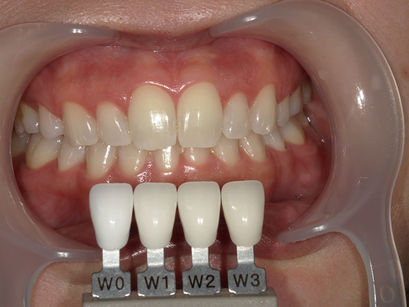
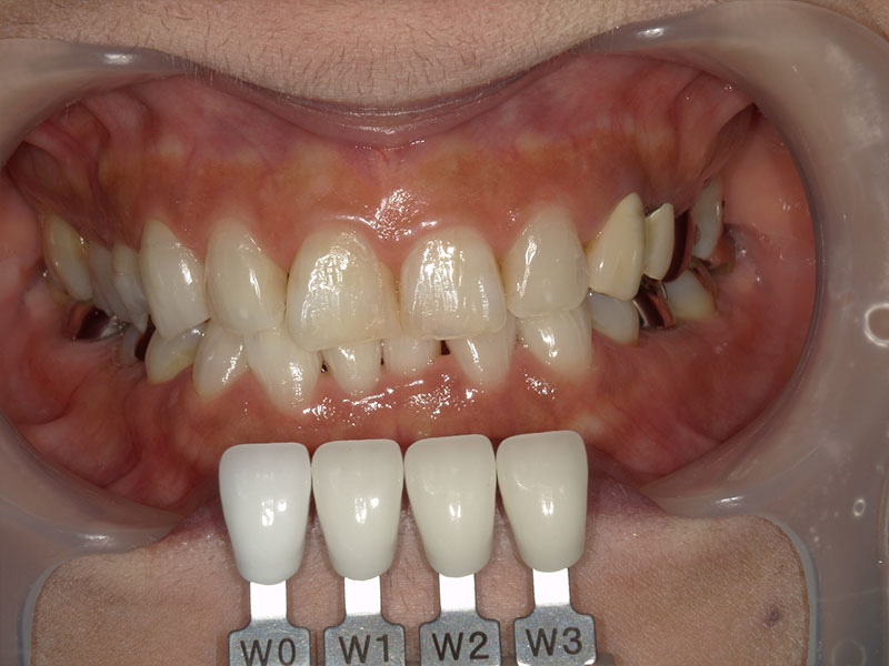
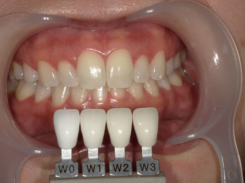
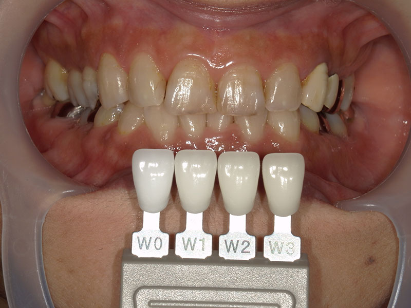
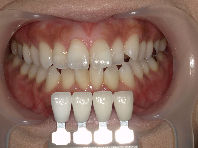
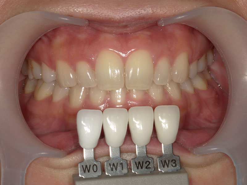
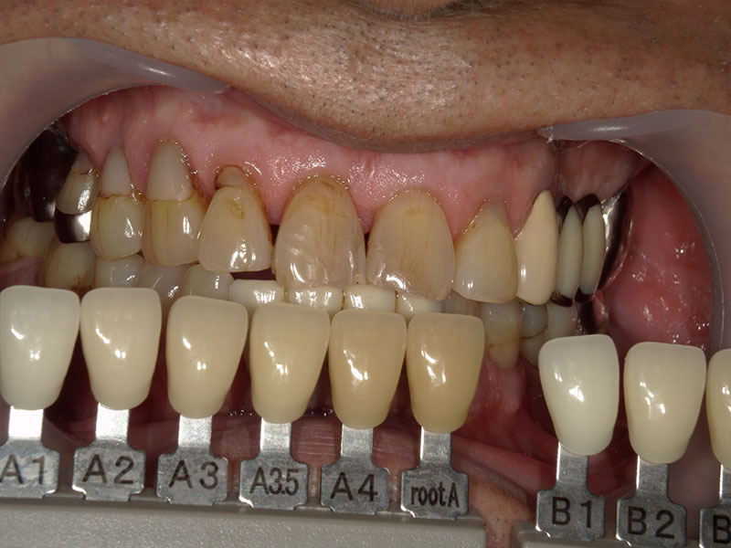
しかし、昨年より新たなシステムを取り入れると明らかな効果が認められ自信をもって進めることができるようになりました。症例をお見せしますので効果のほどをご確認いただけばと存じます。ホワイトニング後に銀歯や古い補綴物を白く輝く歯の色に合わせて作り直していただくことをお勧めいたします。
ぜひ、ホワイトニングでお気軽に新しい自分を体験してください。
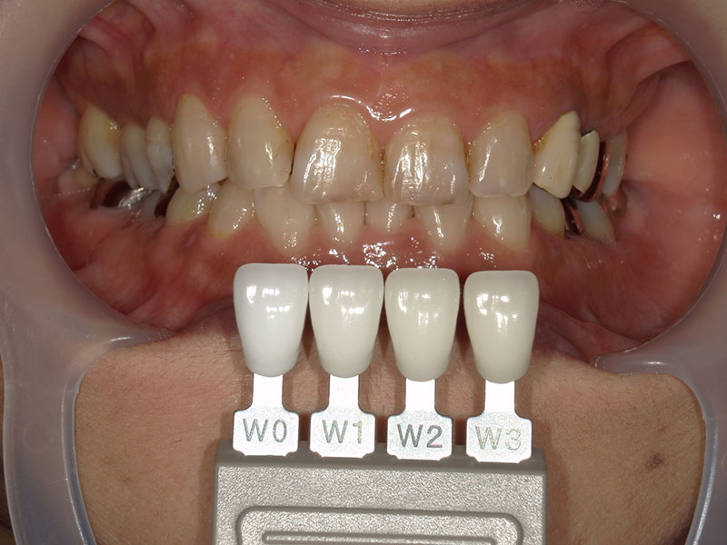
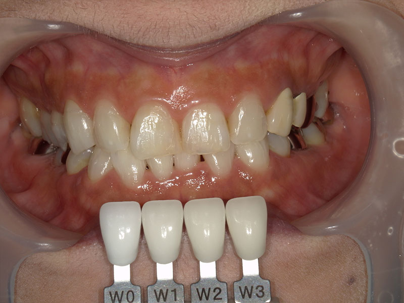
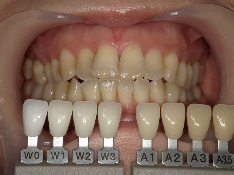
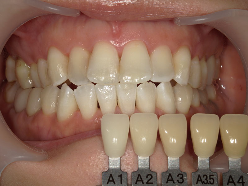
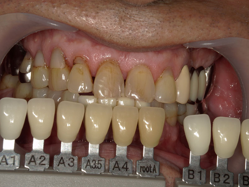
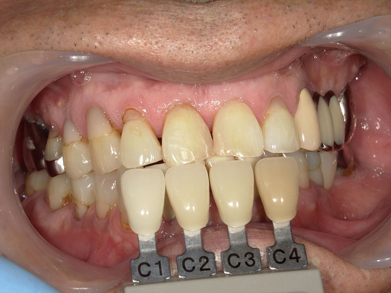
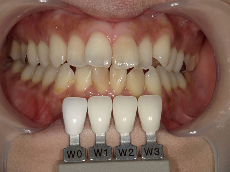
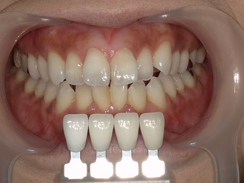
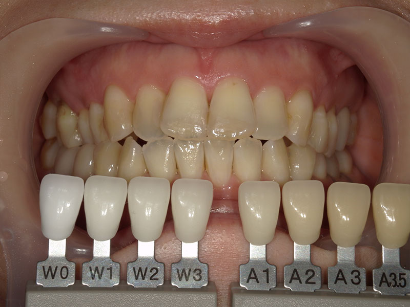
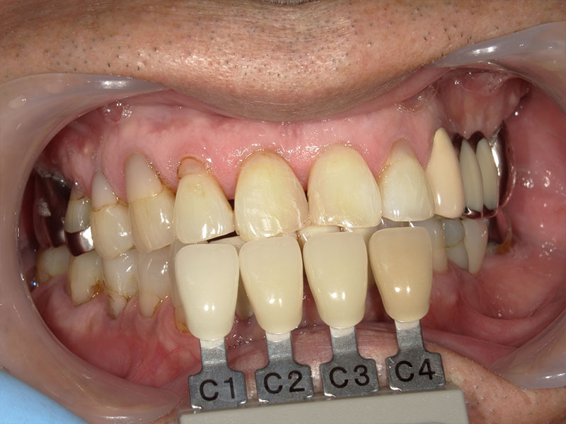
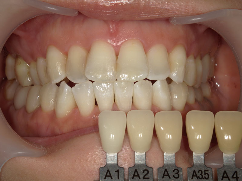
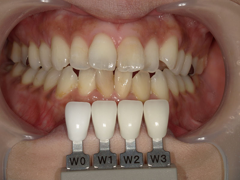
最後に当医院で行った許可をいただいた患者さんのホワイトニングの術前術後の様子をお見せいたします。












